Severe cortical damage associated with COVID-19 case report

In December 2019, the severe acute respiratory syndrome coronavirus 2 (SARS-CoV-2) began to cause a flu-like infection in people living in Wuhan, China. One year later, the coronavirus disease 2019 (COVID-19) has infected more than 68 million people and claimed over 1.56 million lives.

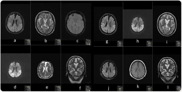
MRI

Serial contrast enhanced MRI brain performed prior to illness and at 3 time points during current illness. Image Credit: https://www.seizure-journal.com/article/S1059-1311(20)30362-9/fulltext

The symptoms of this infection are fever, cough, tiredness, shortness of breath, and in some cases, diarrhea. The COVID-19 is primarily associated with respiratory or gastrointestinal issues.

Increasing evidence of neurological manifestations is associated with COVID-19 worldwide. Case reports describe new-onset seizures in COVID-19, particularly in severe forms of the infection. Most of these report brief and self-limiting seizures in children - the impact of which seems to have been limited. In contrast, another case shows distinct seizures, caused most likely by severe systemic inflammation.

Luca Zombori et al. reports a case study of a 17-year-old female who sustained a significant cortical injury during COVID-19-associated multi-inflammatory syndrome. This work was published recently as a short communication in the European Journal of Epilepsy, the Seizure.

The 17-year-old female had Cornelia de Lange syndrome and well-controlled epilepsy with infrequent brief tonic-clonic seizures. Cornelia de Lange syndrome is a genetic condition that leads to moderate to severe developmental growth disability.

In the case presented, the authors believe that the neuro-disability was likely a contributing factor to the severity of the COVID-19. Prior to the 17-year-old’s COVID-19 symptoms, she was able to mobilize by shuffling her body from her seated position and communicate her needs non-verbally. The complete medical description of her condition is presented in the paper.

When she had a cough, fever, and difficulty in breathing, she also developed signs of medical distress. She was intubated and transferred to the pediatric critical care unit. With high signs of sepsis, the respiratory secretions were positive for SARS-CoV-2, Influenza-b, and Pseudomonas aeruginosa. Despite persistent fevers, her condition improved and she was extubated on day 20.

However, she suffered a sudden respiratory deterioration requiring re-intubation. Her inflammatory markers increased significantly. Going from CRP 127 to CRP 345 mg/liter (the C-reactive protein levels), her condition fulfilled the criteria for Paediatric Multi-Inflammatory Syndrome temporally related to COVID (PIMS-TS).

On repeat testing, she was negative for bacterial and viral screening. She had episodes of tachycardia and tachypnoea. EEG observations showed seizure activity was distinct to the patient’s usual epileptic seizures.

A time-dependent brain MRI - before illness, during illness, repeat, and follow-up - showed widespread bilateral cortical, cerebellar and thalamic signal change and swelling; persistent multifocal areas of neuroparenchymal signal change; and evolving laminar necrosis in the areas previously affected. Further episodes of suspected seizures persisted intermittently.

The authors hypothesize that severe systemic inflammation has played a key role in exacerbating both her epilepsy and the resulting brain injury as the pattern of injury was not typical of that seen in uncontrolled status epilepticus.

Currently, seven months into her illness, she is tracheostomy-ventilated and undergoing long-term neurorehabilitation. The authors report she can respond consistently to environmental cues, though she remains well below her prior functional level.

Theories of coronavirus-induced neuropathology caused by misdirected host immune response have been postulated. Many studies show that COVID-19 patients in ICU develop neurological symptoms. The COVID-19 is reported to cause neurological symptoms in only 36% of the infected cases. Seizures and cortical injury are rarely associated with COVID-19.

The authors claim that this is the first case report showing this pattern of evolving cortical brain damage in association with late-onset seizures and PIMS-TS. This is an important paper where the researchers describe the case of a 17-year-old female with Cornelia de Lange syndrome and well-controlled epilepsy with a sustained significant cortical injury during a COVID-19 associated multi-inflammatory syndrome.

Early recognition and treatment of seizures in children with COVID-19 and PIMS-TS may be important to minimize damage and optimize outcomes, the authors write.

Journal reference:
  • Zombori, L., Bacon, M., Wood, H., Chatterjee, F., Venkateswaran, R., Lampariello, S. and Yoong, M. (2021). Severe cortical damage associated with COVID-19 case report. Seizure, 84, pp.66–68.
Dr. Ramya Dwivedi

Written by

Dr. Ramya Dwivedi

Ramya has a Ph.D. in Biotechnology from the National Chemical Laboratories (CSIR-NCL), in Pune. Her work consisted of functionalizing nanoparticles with different molecules of biological interest, studying the reaction system and establishing useful applications.

Citations

Please use one of the following formats to cite this article in your essay, paper or report:

  • APA

    Dwivedi, Ramya. (2020, December 10). Severe cortical damage associated with COVID-19 case report. News-Medical. Retrieved on January 19, 2026 from https://www.appetitewellbeing.com/news/20201210/Severe-cortical-damage-associated-with-COVID-19-case-report.aspx.

  • MLA

    Dwivedi, Ramya. "Severe cortical damage associated with COVID-19 case report". News-Medical. 19 January 2026. <https://www.appetitewellbeing.com/news/20201210/Severe-cortical-damage-associated-with-COVID-19-case-report.aspx>.

  • Chicago

    Dwivedi, Ramya. "Severe cortical damage associated with COVID-19 case report". News-Medical. https://www.appetitewellbeing.com/news/20201210/Severe-cortical-damage-associated-with-COVID-19-case-report.aspx. (accessed January 19, 2026).

  • Harvard

    Dwivedi, Ramya. 2020. Severe cortical damage associated with COVID-19 case report. News-Medical, viewed 19 January 2026, https://www.appetitewellbeing.com/news/20201210/Severe-cortical-damage-associated-with-COVID-19-case-report.aspx.

Comments

The opinions expressed here are the views of the writer and do not necessarily reflect the views and opinions of News Medical.
Post a new comment
Post

Sign in to keep reading

We're committed to providing free access to quality science. By registering and providing insight into your preferences you're joining a community of over 1m science interested individuals and help us to provide you with insightful content whilst keeping our service free.

or

While we only use edited and approved content for Azthena answers, it may on occasions provide incorrect responses. Please confirm any data provided with the related suppliers or authors. We do not provide medical advice, if you search for medical information you must always consult a medical professional before acting on any information provided.

Your questions, but not your email details will be shared with OpenAI and retained for 30 days in accordance with their privacy principles.

Please do not ask questions that use sensitive or confidential information.

Read the full Terms & Conditions.

You might also like...
Poor lung gas exchange may help explain lingering brain symptoms in Long COVID