What is Lissencephaly?

Lissencephaly represents a developmental disorder resulting from abnormal neuronal migration. A wide spectrum of cerebral pathology can be seen in lissencephaly – from pachygyria and agyria (reduction and absence of cerebral convolutions, respectively) to subcortical band heterotopia where cerebral convolutions appear normal.

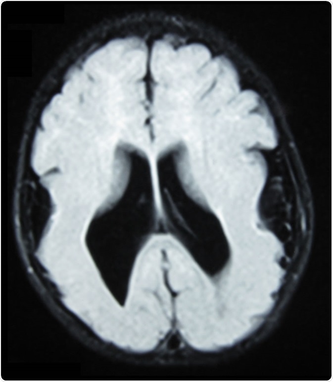
Brain MRI, T1 weighted, transverse plane, that shows lyssencephaly, manifested as scarce and wide circumvolutions, mostly in the occipital, parietal and temporal lobes. As aggregated findings, there is ventriculomegaly, no true Sylvian cissure, too thick gray matter and ectopic gray matter in the white matter. Image Credit: Ralphelg, https://creativecommons.org/licenses/by-sa/3.0/deed.en
Brain MRI, T1 weighted, transverse plane, that shows lissencephaly, manifested as scarce and wide circumvolutions, mostly in the occipital, parietal, and temporal lobes. As aggregated findings, there is ventriculomegaly, no true Sylvian cissure, too thick gray matter and ectopic gray matter in the white matter. Image Credit: Ralphelg, https://creativecommons.org/licenses/by-sa/3.0/deed.en

Management of the disease

In lissencephaly, the brain's severe underlying malformations are not amenable to treatment; thus, supportive care is appropriate to ensure comfort and nursing requirements. Such a symptomatic approach depends on the severity and locations of the brain malformations.

Although medical management of seizures is available, it must be noted that epilepsy associated with lissencephaly and accompanying seizures are usually resistant to conventional therapy. Adrenocorticotropic hormones are a viable but not completely effective option in the treatment of infantile spasms.

For children with serious feeding difficulties, a gastrostomy feeding tube placement is often considered to preserve adequate nutrition. Ventriculoperitoneal shunts and encephalocele repair is pursued in certain cases of Walker-Warburg syndrome.

Prognosis

The outlook for all patients with lissencephaly is not good, especially for those with identifiable syndromes. Children with isolated lissencephaly may sit or roll, and rare patients with mild agyria and pachygyria will walk. Nevertheless, a majority of patients show no significant development beyond the 5-month level.

Even though most patients die before the age of two (regardless of the type of lissencephaly), survival to late childhood with near-normal intelligence is occasionally observed. As mentioned, certain mutations may result in milder cortical changes that are compatible with a substantially better prognosis.

Potential novel therapeutic strategies

Deeper insights into genes involved in lissencephaly and their mechanism of action may lead to novel therapies, and the experiments on rats and mice look promising. For example, by reexpressing the DCX gene after birth, aberrantly positioned neurons are stimulated to restart migration and restore neuronal patterning.

Furthermore, calpain-dependent proteolysis inhibitors can protect LIS1 from degrading, which results in the upsurge of LIS1 levels in mouse embryonic fibroblast cells and dorsal root ganglia neurons. This can overturn cytoplasmic dynein's aberrant distribution and other intracellular components responsible for lissencephaly and other similar disorders.

A long-term goal of this kind of research is to think of ways to translate the findings into human patients, which is not easy. It is hard to predict when such a breakthrough will occur; in the meantime, further understanding of genes and mechanisms is a step in the right direction.

Genomic insights into human cortical development, lissencephaly, and zika microcephaly - Kriegstein

Sources

  1. http://www.ncbi.nlm.nih.gov/pmc/articles/PMC2967611/
  2. http://www.ncbi.nlm.nih.gov/pmc/articles/PMC3565221/
  3. http://hmg.oxfordjournals.org/content/12/suppl_1/R89.long
  4. http://www.e-mjm.org/1996/v51n3/Lissencephalic_Syndromes.pdf
  5. Mohnish S, Young ID. Genetics for Pediatricians. Remedica London, 2005; pp. 45-51.
  6. Noggle CA, Horton AM, editors. The Encyclopedia of Neuropsychological Disorders. Springer Publishing Company, 2011; pp. 429-432.

Further Reading

Last Updated: Mar 1, 2021

Dr. Tomislav Meštrović

Written by

Dr. Tomislav Meštrović

Dr. Tomislav Meštrović is a medical doctor (MD) with a Ph.D. in biomedical and health sciences, specialist in the field of clinical microbiology, and an Assistant Professor at Croatia's youngest university - University North. In addition to his interest in clinical, research and lecturing activities, his immense passion for medical writing and scientific communication goes back to his student days. He enjoys contributing back to the community. In his spare time, Tomislav is a movie buff and an avid traveler.

Citations

Please use one of the following formats to cite this article in your essay, paper or report:

  • APA

    Meštrović, Tomislav. (2021, March 01). What is Lissencephaly?. News-Medical. Retrieved on January 17, 2026 from https://www.appetitewellbeing.com/health/What-is-Lissencephaly.aspx.

  • MLA

    Meštrović, Tomislav. "What is Lissencephaly?". News-Medical. 17 January 2026. <https://www.appetitewellbeing.com/health/What-is-Lissencephaly.aspx>.

  • Chicago

    Meštrović, Tomislav. "What is Lissencephaly?". News-Medical. https://www.appetitewellbeing.com/health/What-is-Lissencephaly.aspx. (accessed January 17, 2026).

  • Harvard

    Meštrović, Tomislav. 2021. What is Lissencephaly?. News-Medical, viewed 17 January 2026, https://www.appetitewellbeing.com/health/What-is-Lissencephaly.aspx.

Comments

  1. Temima Bell Temima Bell United States says:

    My son was diagnosed with lissencephaly. Is there anything new I can try to save my son?

The opinions expressed here are the views of the writer and do not necessarily reflect the views and opinions of News Medical.
Post a new comment
Post

While we only use edited and approved content for Azthena answers, it may on occasions provide incorrect responses. Please confirm any data provided with the related suppliers or authors. We do not provide medical advice, if you search for medical information you must always consult a medical professional before acting on any information provided.

Your questions, but not your email details will be shared with OpenAI and retained for 30 days in accordance with their privacy principles.

Please do not ask questions that use sensitive or confidential information.

Read the full Terms & Conditions.