Squamous Cell Carcinoma Symptoms

Squamous cell carcinoma (SCC) is a skin condition that involves abnormal growth of the squamous cells, although the changes may be subtle at first. Many patients that present with the condition have a long history of a lesion that fails to heal, that they have not associated with a sign of a serious health condition.

The signs and symptoms can vary greatly according to the area of the skin and organs that are involved. For example, vision may be affected if the lesion is on the face and nervous symptoms may present with the involvement of the nerves.

squamous cell carcinomaSquamous cell carcinoma of a human. Image Credit: Designua / Shutterstock.com

Initial presentation

The initial lesion does not usually cause any symptoms and the first noticeable signs are largely visual. Actinic keratosis is a skin condition involving tiny spots on the skin that are precancerous but have a higher risk of progressing to become squamous cell carcinoma.

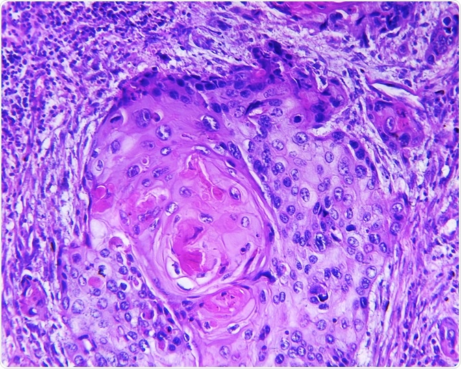
The tumor typically begins as a small nodule on skin the that enlarges and becomes a shallow ulcer that does not easily heal. It is common for the edges to be hardened and heaped up and the lesion to be covered by plaque that continues to grow in the area. Some patients may find that the tumor occasionally bleeds, usually from the lip of the lesion.

However, the physical presentation of squamous cell carcinoma is highly variable and not all patients experience the same signs and symptoms. The location of the lesion also has a large impact on the appearance and symptoms of the condition.

Affected area

Squamous cell carcinoma usually affects particular areas of the skin, due to the risk factors that affect these regions. For example, exposure to ultraviolet (UV) radiation in sunlight is the primary causative factor for the condition, as it can lead to DNA damage and change the replication and growth of the squamous cells. For this reason, areas of the skin that are commonly exposed to sunlight, such as the head and neck, are most likely to be affected.

In fact, approximately 70% of SCC cases occur on the head and neck, and should thus be examined closely for signs of skin changes. If lesions present nearby the eyes, patients may notice changes in vision.

For more advanced cases, the cancerous cells can spread to nearby lymph nodes, causing them to become enlarged. Occasionally, the tumor can rest underneath the level of surrounding skin and invade deeper tissues when it ulcerates.

Image Credit: Designua / Shutterstock.comDiagram of squamous cell carcinoma. Image Credit: Designua / Shutterstock.com

Tumor characteristics

The surface changes to the skin as a result of squamous cell carcinoma typically include:

  • Scaling
  • Ulceration
  • Crusting
  • Cutaneous Horn

In some cases, a pink cutaneous nodule may present, although this is less common.

The size of the tumor is an important factor that affects the appropriate treatment choice, as it can affect the likelihood of metastases. For example, lesions greater than 2cm are on the ears or lips of an individual are at a particularly high risk of metastasizing.

Peripheral nerve involvement

Some patients may report particular symptoms that a likely to indicate the involvement of peripheral nerves in the area. These symptoms may include:

  • Numbness
  • Pain
  • Muscular twitching
  • Muscular weakness

References

Further Reading

Last Updated: Feb 4, 2021

Susan Chow

Written by

Susan Chow

Susan holds a Ph.D in cell and molecular biology from Dartmouth College in the United States and is also a certified editor in the life sciences (ELS). She worked in a diabetes research lab for many years before becoming a medical and scientific writer. Susan loves to write about all aspects of science and medicine but is particularly passionate about sharing advances in cancer therapies. Outside of work, Susan enjoys reading, spending time at the lake, and watching her sons play sports.

Citations

Please use one of the following formats to cite this article in your essay, paper or report:

  • APA

    Chow, Susan. (2021, February 04). Squamous Cell Carcinoma Symptoms. News-Medical. Retrieved on January 16, 2026 from https://www.appetitewellbeing.com/health/Squamous-Cell-Carcinoma-Symptoms.aspx.

  • MLA

    Chow, Susan. "Squamous Cell Carcinoma Symptoms". News-Medical. 16 January 2026. <https://www.appetitewellbeing.com/health/Squamous-Cell-Carcinoma-Symptoms.aspx>.

  • Chicago

    Chow, Susan. "Squamous Cell Carcinoma Symptoms". News-Medical. https://www.appetitewellbeing.com/health/Squamous-Cell-Carcinoma-Symptoms.aspx. (accessed January 16, 2026).

  • Harvard

    Chow, Susan. 2021. Squamous Cell Carcinoma Symptoms. News-Medical, viewed 16 January 2026, https://www.appetitewellbeing.com/health/Squamous-Cell-Carcinoma-Symptoms.aspx.

Comments

The opinions expressed here are the views of the writer and do not necessarily reflect the views and opinions of News Medical.
Post a new comment
Post

While we only use edited and approved content for Azthena answers, it may on occasions provide incorrect responses. Please confirm any data provided with the related suppliers or authors. We do not provide medical advice, if you search for medical information you must always consult a medical professional before acting on any information provided.

Your questions, but not your email details will be shared with OpenAI and retained for 30 days in accordance with their privacy principles.

Please do not ask questions that use sensitive or confidential information.

Read the full Terms & Conditions.