Emphysema Pathophysiology, Causes, Diagnosis & Treatment

Emphysema is a chronic or long term lung disease. This disease is typically called hyperinflation.

What happens in emphysema?

Just like a balloon the lungs are over-inflated so that they lose their elasticity and elastic recoil. There are balloon like bullae or blisters in the lung tissues.

Because carbon dioxide is trapped in the bullae, the body is deprived of fresh air flowing into the lungs. The lungs begin by compensating by taking deeper breaths.

This further expands the lung tissues and makes it lose its elasticity. With loss of elasticity more carbon dioxide accumulates in the lungs leaving less space for fresh air and this leads to shortness of breath.

With time the muscles and ribs begin to expand to contain the expanded lungs. The diaphragm that lies beneath the lungs and is normally dome shaped also flattens and lose their functional capacity.

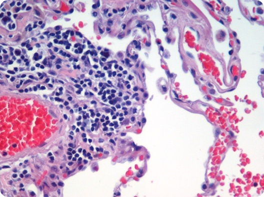
Image is of H&E (haematoxylin and eosin) stained lung tissue sample taken from an end-stage emphysema patient. Cell nuclei are blue-purple, red blood cells are red, other cell bodies and extracellular material are pink, and air spaces are white. Source:

Image is of H&E (haematoxylin and eosin) stained lung tissue sample taken from an end-stage emphysema patient. Cell nuclei are blue-purple, red blood cells are red, other cell bodies and extracellular material are pink, and air spaces are white. Source: "T Cells Cause Lung Damage in Emphysema". PLoS Med 1(1): e25.

Causes of emphysema

One of the most important causes of emphysema is cigarette smoking. Other causes include air pollution, work hazards, and lung infections.

Cigarette smoke changes the structure and function of the lungs by causing irritation and inflammation of the narrow airways. This leads release of enzymes in the lungs that destroy lung tissues and an increased size in the air sacs eventually leading to emphysema.

The destroyed lung tissues form bullae (holes) and lose elasticity - a typical finding in emphysema.

Alpha-1 antitrypsin deficiency is a rare genetic condition where there are decreased levels of the protective protein, alpha-1 antitrypsin. Alpha-1 antitrypsin protects the lungs from the destructive effects of enzymes. Patients who lack this enzyme thus have lungs that are damaged by enzymes called elastases at an early age.

Diagnosis and treatment of emphysema

Emphysema is typically characterized by shortness of breath and wheezing. It is now considered to be a part of chronic obstructive lung disease. The destruction of lung tissue seen with emphysema leads to a reduction in the functional capacity of the lungs.

Early diagnosis and management can help prevent gross damage to the lungs. Several breathing tests as well as imaging studies like X rays are used in diagnosing emphysema.

Medical treatment for emphysema includes:-

  • Bronchodilators – these are drugs that open up the narrowed airways to allow for more oxygen intake into the lungs. There are several types of bronchodilators. Beta 2 agonists include Salbutamol, Salmeterol etc. Antimuscarinic agents that are one of the important agents used include Ipratropium and Tiotropium. Theophyliline is another group of bronchodilators that is administered orally as pills rather than by inhalation as with other bronchodilators.
  • Steroids – These may be given by inhalation, pills (during flare ups) and even by injection during severe cases. They reduce inflammation within the lungs.
  • Antibiotics are recommended on in case of lung infections during flare ups.
  • Oxygen therapy.

Surgery

Lung transplantation and lung volume reduction surgery are surgical options that are available. These should be used only when the use of all medical treatments as well as pulmonary rehabilitation have been tried and symptoms continue to persist.

Further Reading

Last Updated: Jul 8, 2023

Dr. Ananya Mandal

Written by

Dr. Ananya Mandal

Dr. Ananya Mandal is a doctor by profession, lecturer by vocation and a medical writer by passion. She specialized in Clinical Pharmacology after her bachelor's (MBBS). For her, health communication is not just writing complicated reviews for professionals but making medical knowledge understandable and available to the general public as well.

Citations

Please use one of the following formats to cite this article in your essay, paper or report:

  • APA

    Mandal, Ananya. (2023, July 08). Emphysema Pathophysiology, Causes, Diagnosis & Treatment. News-Medical. Retrieved on January 17, 2026 from https://www.appetitewellbeing.com/health/Emphysema-Pathophysiology-Causes-Diagnosis-Treatment.aspx.

  • MLA

    Mandal, Ananya. "Emphysema Pathophysiology, Causes, Diagnosis & Treatment". News-Medical. 17 January 2026. <https://www.appetitewellbeing.com/health/Emphysema-Pathophysiology-Causes-Diagnosis-Treatment.aspx>.

  • Chicago

    Mandal, Ananya. "Emphysema Pathophysiology, Causes, Diagnosis & Treatment". News-Medical. https://www.appetitewellbeing.com/health/Emphysema-Pathophysiology-Causes-Diagnosis-Treatment.aspx. (accessed January 17, 2026).

  • Harvard

    Mandal, Ananya. 2023. Emphysema Pathophysiology, Causes, Diagnosis & Treatment. News-Medical, viewed 17 January 2026, https://www.appetitewellbeing.com/health/Emphysema-Pathophysiology-Causes-Diagnosis-Treatment.aspx.

Comments

The opinions expressed here are the views of the writer and do not necessarily reflect the views and opinions of News Medical.
Post a new comment
Post

While we only use edited and approved content for Azthena answers, it may on occasions provide incorrect responses. Please confirm any data provided with the related suppliers or authors. We do not provide medical advice, if you search for medical information you must always consult a medical professional before acting on any information provided.

Your questions, but not your email details will be shared with OpenAI and retained for 30 days in accordance with their privacy principles.

Please do not ask questions that use sensitive or confidential information.

Read the full Terms & Conditions.

You might also like...
COPD care pathways improve hospital outcomes and standardize treatment