The DP74 color camera for fluorescence not only advances the speed and ease with which you can obtain detailed, accurate images but also introduces for the first time the concept of Intelligent Imaging. With Intelligent Imaging, the camera analyzes the live image and automatically applies its technology to reduce processing time and produce quality images of even dim and challenging samples.
Furthermore the camera can follow your stage movements to create in real-time a panoramic image with mapped zoom-outs, a great time saver for documenting your sample. The DP74’s wide field of view and unsurpassed live speed provide an on-screen experience closely matching the traditional ocular view, thanks to its expertly calibrated colors.
Maximize your investment return on a shared laboratory instrument with the camera’s top resolution of 20.7 megapixels and the capability to work with brightfield and fluorescent samples alike. These features are compatible with any microscope, whether manual or motorized, making the DP74 a perfect solution for a smarter and faster imaging workflow.
Features
Capture High-Quality Images Quickly and Easily
Full HD Images of Live Specimens are Fast and Simple to Acquire
Obtain high-quality images of live specimens higher than FullHD resolution (2.3 million native pixels). The DP74 camera delivers images at a full 60 frames per second. The high frame rate enables users to make observations quickly and easily and capture fast movements in the specimen. The DP74's global shutter eliminates the live image distortion frequently caused by rolling shutter CMOSs.

One of the Widest Field of Views Available

The DP74 color fluorescence camera features a field of view that is 37% larger than conventional microscope cameras, which are typically the equivalent of FN 18 or less. The wide 16:10 aspect ratio field of view enables users to find areas of interest more quickly and recognize their position within a sample.
High Color Fidelity for Most Stains Used in the Life Sciences

Evident’ proprietary image processing technology delivers excellent color reproducibility in a wide variety of stained samples. The color fidelity detects subtle shading, faithfully reproduces the tint from HE staining, light green from Papanicolaou staining, and brown from DAB staining.
Capture Fine Details at Low Magnifications

The DP74 camera provides high resolution at low magnification. The camera’s pixel shifting technology provides sub-pixel information, delivering the equivalent of 20.7 million pixels in a high-resolution image. The 3-CMOS mode makes each pixel's information as accurate as three chip cameras. This provides more detail, creating highdefinition images with fine color reproduction without increasing the file size.
Vivid Fluorescence Images with Reduced Noise

Because the CMOS sensor is cooled, it enables sharp fluorescence images with low noise and with sensitivity similar to or greater than a cooled CCD. The camera’s ‘Linear’ mode provides accurate brightness data that is proportional to the number of sensed photons, so it is easier to analyze the brightness of fluorescence images.
Seamless Stitching with Even Illumination Across the Image

With the shading correction feature, it’s possible to produce beautiful macro images with fewer seams. Tiling is faster thanks to the wider field of view and the fast frame rate, leading to beautiful macro images.
Accelerate your daily workflow
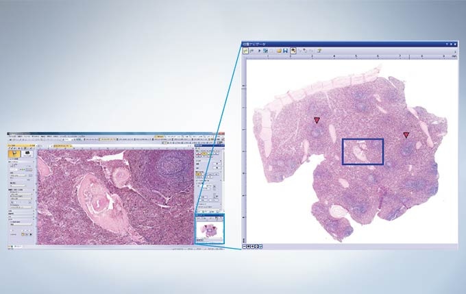
Easily know the location of interest with the Position Navigator
The position navigator adds convenience to the operator’s workflow because it creates a map to help users keep track of their location within the specimen; this is especially useful when making observations at high magnification. This is achieved without the need for a motorized or encoded stage. The low-magnification map of the sample containing all of the pertinent location information can be stored along with the high-magnification observation image, making it convenient for record keeping or creating presentation materials. *The accuracy of the map creation and the position navigation depends on observed samples...


Context Map And High-Magnification Images Stored in a Single File

The metadata images used in the camera’s mapping feature can also be used as stand-alone images. In addition, the entire overview map and high-magnification image can be saved and exported in a common file format for enhanced flexibility. Users are able to place markers in real-time on the overview map to highlight potential areas of interest, making it easy to go back and re-image previously viewed areas.
Focus on Dim Fluorescent Signals with Intelligently Designed Noise Reduction

The multi-frame live noise reduction (FNR) feature makes it possible to capture low-noise, high-speed images of live specimens in real time. Evident’ noise reduction technology enables users to obtain sharp fluorescence images, even in weak fluorescence.
The FNR feature takes multiple pictures of an image and then removes the random background noise. The camera is intelligent enough to be able to stop the FNR only when the stage is moving, making it easier to scan your specimen and focus during fluorescence imaging.
Super Fluorescence (SFL) Mode Optimizes for Correct Exposure

The DP74 camera is equipped with SFL mode and is optimized for fluorescence observation. With SFL, the camera automatically sets the optimal exposure time to capture balanced fluorescence images, without losing details to overexposed areas.
The Auto Expose Feature Helps Prevent Overexposure When Changing Objectives
The DP74 fluorescence color camera automatically detects when a user changes objectives and waits until the image is uniformly illuminated before performing auto exposure. This helps prevent acquiring images that are overexposed and facilitates a smooth transition from one objective to the next.